Dientes blancos = sonrisa perfecta

Dientes blancos = sonrisa perfecta

La Academia Americana de Odontología Cosmética (AACD) ha realizado estudios y descubrió que solo la mitad de los adultos en América están contentos con su sonrisa. Las estadísticas no mienten y han arrojado que más del 90% de los adultos norteamericanos piensan que la sonrisa es un recurso social importante, lo que nos dice que casi todos saben lo importante que es tener una buena salud dental, la pregunta aquí es ¿Ese 90% de los adultos hará algo para lograr tener esa sonrisa perfecta?

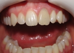
Casi nadie tiene los dientes completamente perfectos, derechos y sin cavidades, pero lo que resulta aún peor es que casi nadie tiene una sonrisa blanca. Tener los dientes amarillos se vuelve un problema, los sentimos poco atractivos y con falta de vida. Lo que se necesita hacer en estos casos es realizarse un blanqueamiento dental.

Los dentistas han desarrollado con el tiempo diferentes técnicas de blanqueamientos dentales, cada vez se han vuelto mucho más tecnológicos y ahora sin dolor. Si es cierto que en Estados Unidos se pueden encontrar dentistas muy buenos que practican muy bien los blanqueamientos dentales, pero suelen ser extremadamente caros, Monterrey es una opción para encontrar este servicio a un precio accesible.

Los dentistas te darán las recomendaciones necesarias para que tu sonrisa dure blanca por mucho más tiempo. Los dentistas en Monterrey cuentan con la más alta tecnología para realizar blanqueamientos dentales, este procedimiento dura máximo una hora y no se presenta ningún dolor.

Sé el primero en Comentar

Recibir un email cuando alguien contesta a mi comentario